The Science of Hair
Decipher the enigma that is hair: what is it, how does it grow, and what happens throughout and after the dyeing process, including the effects of dyeing on its health.
What is hair?
How does hair grow?
The hair dyeing process.
The health effects of the dyeing process on hair.
Hair is a fibrous protein filament that grows from follicles found in the dermis, or skin, of mammals. It is primarily composed of a protein called keratin, which gives hair its strength and resilience. Each strand of hair is made up of three layers: the medulla, cortex, and cuticle. The medulla is the innermost layer, often absent in finer hair types. The cortex, located in the middle, contains the majority of hair's pigment, providing color and strength. The outer layer, the cuticle, consists of overlapping cells that protect the inner structures of the hair and contribute to its shine.
Hair growth is a fascinating biological process that occurs in cycles and is influenced by several factors. Understanding how hair grows involves exploring the structure of hair, the phases of the hair growth cycle, and the biological mechanisms that drive this vital phenomenon.
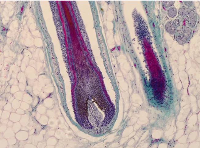
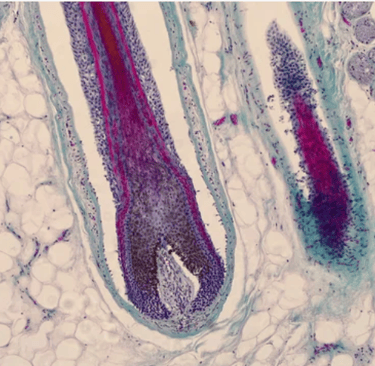
1. Structure of Hair: Hair is primarily made up of a protein called keratin. Each strand of hair originates from a hair follicle located in the skin. The hair follicle is a complex structure that comprises various components, including the hair bulb, dermal papilla, and sebaceous glands. The hair bulb is the part of the follicle where the actual growth occurs, while the dermal papilla provides necessary nutrients and signals that facilitate hair growth.
2. The Hair Growth Cycle: Hair grows in cycles, which can be divided into three main phases: the anagen phase, the catagen phase, and the telogen phase.
Anagen Phase: This is the growth phase where hair actively grows. The length of this phase can vary from two to six years, and it accounts for about 85% of the hair on an individual's head at any given time. During this phase, cells in the hair bulb divide rapidly, creating new cells and pushing older ones further up the follicle, which eventually become the visible hair strand.
Catagen Phase: This is a transitional phase generally taking about two weeks, but may last as long as a month. During catagen, hair growth stops as the follicle shrinks and detaches from the hair bulb. The hair follicle prepares to enter the resting phase, and the hair strand may eventually fall out.
Telogen Phase: The resting phase approximately lasts around three months and can take as long as five months. At this stage, the hair is not growing but is still attached to the follicle. Eventually, the hair will shed, making way for new hair growth as the cycle begins anew.
3. Biological Mechanisms Behind Hair Growth: The process of hair growth is regulated by various biological signals. Hormones such as testosterone play a critical role in hair growth by influencing the hair follicle's activity. Additionally, signaling molecules like vascular endothelial growth factor (VEGF) promote blood flow and nutrient delivery to the follicles, essential for robust hair growth. Other factors include genetics, age, and nutrition, which can all impact the growth cycle and hair health.
4. Factors Affecting Hair Growth: Several external and internal factors can influence the hair growth process:
Genetics: The predisposition for hair thickness, growth patterns, and overall hair health often runs in families.
Hormones: Conditions like pregnancy, menopause, and hormonal disorders can modify hair growth cycles.
Diet and Nutrition: Consuming a balanced diet rich in vitamins and minerals promotes healthy hair growth. Essential nutrients include proteins, biotin, iron, and omega-3 fatty acids.
Age: As people age, hair growth can slow down, and hair may become thinner and weaker.
Stress: Physical or emotional stress can lead to hair loss as it may disrupt the hair growth cycle, particularly triggering premature entry into the telogen phase.
Health Conditions: Certain medical conditions such as alopecia areata, thyroid disorders, and scalp infections can significantly affect hair growth or lead to hair loss.
In summary, hair growth is a complex process governed by the intricate interaction of hormones, nutrients, genetics, and the environment, unfolding in a regulated cycle of growth, transition, and rest. By maintaining a healthy lifestyle and understanding these factors, individuals can support the natural growth and health of their hair.
Extra Credit: The more you know (about hair)...
Hair serves several important functions, including protection, regulation of body temperature, and sensory functions. The presence of hair on the head provides a barrier against environmental elements like UV radiation and wind, while body hair helps insulate and regulate temperature. Additionally, hair follicles are sensitive to touch, aiding in the sensory perception of the environment.
Hair can vary significantly among individuals and species in terms of texture, color, and length. Factors influencing hair characteristics include genetic makeup, hormonal levels, and environmental conditions. Hair color is determined by the type and amount of melanin produced in the hair follicles, which can vary widely, resulting in a spectrum of colors ranging from black and brown to blonde and red. In human culture, hair holds significant social and personal value. It can be a form of self-expression, symbolizing identity, heritage, and beliefs. Hairstyles can carry cultural significance, representing various traditions or social movements. Hair can also be associated with beauty standards, with diverse cultures exhibiting different ideals concerning hair length, texture, and coloring.
In addition to its social and cultural implications, hair care is an important aspect of personal grooming. It encompasses a wide range of practices and products designed to maintain hair health, appearance, and manageability. Regular washing, conditioning, and styling are common routines, influenced by individual preferences and hair types. Furthermore, modern hair treatments, such as coloring, perming, and straightening, allow for even more diversity in hair appearance. Overall, hair is more than just a biological feature; it is an integral part of human identity, culture, and self-expression, reflecting a complex interplay of biology, individuality, and society.




Hair Anatomy
Image source: Adobe Stock
Hair Shaft
Image source: Adobe Stock


Hair Growth Cycle
Image source: Adobe Stock
The process of dyeing hair involves a complex interplay of chemistry and biology that alters the structure and pigmentation of hair strands. At the core of understanding hair dyeing, one must first comprehend the anatomy of hair and the different types of dye used in the industry.
1. The Structure of Hair: Hair is primarily composed of a protein called keratin, which forms the hair shaft. The hair strand consists of three layers: the cuticle, the cortex, and the medulla.
Cuticle: The outermost layer, made up of overlapping cells that protect the inner structures.
Cortex: The middle layer that contains long chains of keratin and the melanin pigments responsible for hair color. This layer provides strength and elasticity.
Medulla: The innermost layer, which may be absent in fine hair and is less significant in the dyeing process.
2. Chemical Composition of Hair Dye: Hair dyes can be classified primarily into two categories: permanent and semi-permanent dyes. The essential difference lies in their chemical composition and their ability to penetrate the hair shaft.
Permanent Dye: Permanent dyes generally contain ammonia and peroxide. Ammonia acts to swell the hair cuticle, allowing the dye to penetrate the cortex. The peroxide serves as an oxidizing agent that can lighten existing pigments (melanin) and facilitate the development of new color.
Ammonia's Role: When applied to the hair, ammonia raises the pH, which opens the cuticle scales. This is crucial for the dye molecules to enter the hair shaft. However, the high pH (alkaline) can lead to damage if the hair is not properly conditioned post-application.
Oxidation Process: Once inside, the peroxide interacts with the natural melanin, breaking it down. This process lightens the hair, creating a blank canvas for the new color to develop. In this context, new dye molecules are formed via oxidative reactions, leading to vibrant and long-lasting color changes.
Semi-permanent and Temporary Dyes: These dyes contain no ammonia and a lower concentration of peroxide, making them less damaging but also less permanent. The dye molecules in semi-permanent dyes are typically smaller and can penetrate the cuticle, but they do not alter the internal structure dramatically as permanent dyes do. These dyes coat the surface of the hair rather than penetrating deeply, which often results in a shorter-lived color and wash out after a few shampoos.
3. Mechanism of Dye Penetration: There are three mechanisms involved with successful dye penetration including pH modification, the oxidation reaction, and color development.
pH Modification: When a permanent hair dye is applied, the alkaline agents raise the pH of the hair's surface. The cuticle layers expand, creating tiny openings that allow the dye to reach the cortex.
Oxidation Reaction: Permanent hair dye generally consists of a color precursor, also known as a dye intermediate, and an oxidizing agent, typically hydrogen peroxide. The latter not only helps lift the natural color by oxidizing the melanin but also facilitates the transformation of the precursors into a larger, more stable dye molecule that remains trapped in the hair.
Color Development: Once the dye precursors infiltrate the cortex, they react with the oxidizing agent. This reaction combines multiple dye molecules, ultimately resulting in larger molecule formations that bond with keratin and maintain their position within the hair structure. The specific color produced depends on the type of dye precursor and its interaction with the oxidizing agent.
4. Factors Influencing Dye Penetration: Several factors contribute to the efficiency and effectiveness of hair dye penetration, such as hair texture, hair porosity, time of application, and temperature.
Hair Texture: Coarse hair has a more damaged cuticle, which can facilitate better dye penetration, while fine hair might require a more careful approach to prevent damage.
Hair Porosity: High porosity hair often absorbs dye more readily due to gaps in the cuticle, while low porosity hair may resist dye application unless prepped adequately.
Time of Application: Allowing the dye to sit on the hair for an appropriate duration permits better penetration and color development.
Temperature: Warmer conditions can enhance the penetration process by further swelling the cuticle and facilitating chemical reactions.
5. Factors Influencing Dye Retention: A few critical factors contribute to retaining the vibrancy of hair dyes for as long as possible including post-application care, restraining from over washing the hair, and limiting the use of hair products.
Post-application Care: It is crucial to follow proper care practices after dyeing. This often includes using sulfate-free shampoos and conditioners designed for color-treated hair to maintain vibrancy and reduce damage. The best products will be inclusive to the manufacturer of the same dye color line that was used for your hair transformation, or products by association that are recommended directly by that manufacturer.
Restraining from Over Washing: Less is best when it comes to washing dyed hair. The longer it can be kept clean without the need to be washed, the longer the color will remain. When washing, as stated in the post-application care, t is recommended to use specific products from the manufacturer of the same dye color line that was used during your hair transformation, or products by association that are recommended directly by that manufacturer.
Limiting the Use of Hair Products: Some hair products, particularly those containing alcohol, can interact with the dye, causing it to fade and become less vibrant. The use of heat will also contribute to hair dye fading, as heat will open up the cuticle, making the color prone to deterioration. If products are needed, it is recommended to use specific products from the manufacture of the same dye color line that was used during your hair transformation, or products by association that are recommended directly by that manufacturer.
To review, the process by which dye enters hair involves a complex interplay of chemistry and biology. The combination of alkaline agents and oxidizing solutions enables the dye to penetrate the hair shaft effectively, resulting in a new color profile. Understanding this process not only informs better hair coloring techniques but also underscores the importance of selecting the right products based on individual hair characteristics to achieve the desired results without compromising hair health.
While dyeing can result in beautiful colors, it does carry potential risks for hair health. The use of ammonia and high peroxide concentrations can weaken the structural integrity of hair by raising the cuticle, making it more susceptible to damage and resulting in dryness and breakage. This is particularly true for individuals with already fragile or compromised hair. Damage can also manifest as increased porosity, leading to tangling and frizz. Over time, cumulative damage can result in a rough texture and reduced shine. Other side effects of the dyeing process may involve scalp irritation, allergic reactions, chemical burns, fungal infections, and hair thinning. This is why it is of upmost importance to allow an educated professional to perform this process, and to actively participate in proper aftercare. Let's take a deeper dive into some of these health risks, including some mitigation tactics and best practices that aid in combating, or avoiding, all of these potential problems.
1. Health Effects on Hair: some common health effects resulting from improper hair dyeing techniques and a lack of aftercare include structural damage, moisture loss, and color fading.
Structural Damage: The chemical agents in hair dyes can damage the cuticle, the outer protective layer of hair. Over time, repeated dyeing can lead to structural weakness, making hair more prone to breakage and split ends. This is especially true for dyes that lighten hair, as they often utilize stronger chemicals. Therefore, it is important to be honest and upfront with your professional hairstylist about your recent hair dyeing experiences (if applicable), and to give your hair proper periods of rest in-between dyeing sessions (this time will vary due to color choices, intensity, individual hair types, and proper aftercare; speak with your professional hairstylist for more information).
Moisture Loss: The dyeing process can strip natural oils from the hair, leading to dryness and a lack of moisture. Hair that is not adequately cared for after dyeing can become brittle and lose its natural shine. Using moisturizing treatments and conditioners post-dyeing can help mitigate this effect, particularly those directly associated from the same color manufacture as the dye that was used in your hair (speak with your professional hairstylist for proper aftercare products).
Color Fade: Although not a health effect per se, fading color is a common issue among dyed hair. Exposure to sunlight, heat styling, and harsh washing can contribute to losing vibrancy in color, often requiring more frequent touch-ups and potentially more chemical exposure. For more information, please reference "the hair dyeing process" above, particularly section 5: "factors influencing dye retention".
2. Health Effects on Scalp: the scalp is also at risk of adverse side-effects resulting from improper hair dyeing techniques, or cheap products, some of which may occur regardless of following proper instruction, such as irritation, allergic reactions, chemical burns, and fungal infections.
Irritation and Allergic Reactions: Many individuals may experience mild to severe irritation of the scalp after dyeing. Symptoms can include redness, itching, and burning sensations. This can be exacerbated if proper patch tests are not performed before application, which can lead to allergic reactions in sensitive individuals. It is paramount that you talk to your professional hairstylist if you have sensitive skin, concerns about irritation, or have ever had a previous hair dyeing experience that resulted in an allergic reaction.
Chemical Burns: In some cases, if hair dye is left on the scalp for too long or if the product is too potent, it can cause chemical burns. These burns can lead to pain, swelling, and in severe cases, scarring. This is yet another reason why it is of utmost importance to have an experienced professional hairstylist dye your hair.
Fungal Infections: When the scalp is irritated or compromised due to dyeing, it can become more susceptible to infections, including fungal infections like tinea capitis. Have an experienced professional hairstylist dye your hair so that you may avoid this potentially compounding problem. A healthy scalp is essential for hair growth and overall hair health, making this a significant concern for those who frequently dye their hair. Following proper aftercare practices and techniques will also aid in minimizing, reducing, or all together avoiding scalp irritations, particularly for individuals who often dye their hair.
3. Long-Term Considerations: while very uncommon, it is worth noting that excessive dyeing and the prolonged use of unprofessional dye products may result in long-term damages, such as hair thinning, or health risks from chemicals.
Hair Thinning: Chronic dyeing may lead to thinning hair over time. The continuous exposure to chemicals can weaken hair follicles, leading ultimately to hair loss in some individuals. This is particularly a concern for individuals with pre-existing hair thinning or genetic predispositions. Allowing your hair time to regenerate between dyeing sessions, including the use of proper aftercare products, is key in maintaining your hair's health. Speak with your professional hairstylist if you have any concerns about thinning hair resulting from chronic dyeing.
Health Risks from Chemicals: While most studies indicate that hair dye is safe when used as directed, a prime reason to have an experienced professional hairstylist dye your hair, some studies have suggested potential links between certain chemicals in hair dye and long-term health concerns. For example, some permanent hair dyes contain coal tar, which has been classified as a possible human carcinogen (coal tar based hair dyes are not standard use for Samantha Reed; if you have concerns, please feel free to ask for more details about the line of dyes that Your Royal Hairness uses before your appointment). Therefore, understanding the ingredients in hair dye is crucial for health-conscious consumers.
4. Mitigating the Risks: good news! There are some very easy ways to avoid most, if not all, of the problems above!
Choosing Safer Products: Consumers today have a plethora of choices, including natural and organic hair dye options, which often avoid harsher chemicals like ammonia and parabens. These alternatives may be gentler on both hair and scalp, although they may not provide the same level of permanence or vibrancy as traditional dyes. NOTE: while it is a positive step in mitigating risk to reduce the amount of harsh chemicals throughout the dyeing process, some of these chemicals may still be used during the process. For more information, please reference "the hair dyeing process" above.
Professional Application: Visiting an experienced professional hairstylist can reduce the risk of mishaps and complications during the dyeing process. Professionals can better gauge the appropriate products for individual hair types and skin sensitivities, reducing the chances of damage and irritation.
Aftercare: Investing in high-quality hair care products after dyeing is essential! This includes using sulfate-free shampoos, deep conditioning treatments, and heat protectants. The best aftercare products will be directly from the manufacture of the same dye color line that was used during your hair transformation, or products by association that are directly recommended by that manufacturer. Please see your professional hairstylist for a complete aftercare package, including instruction and best practices. Regular trims can also help remove damaged ends and maintain overall hair health.
To conclude, while dyeing hair can be a fun and empowering way to change one's look, the associated health effects cannot be overlooked. Understanding the potential risks to both hair and scalp health is vital for those who choose to dye their hair. Therefore, it is imperative to seek an experienced professional hairstylist for the best experience. By opting for professional help and committing to proper aftercare, you can enjoy brilliantly vibrant hair colors and stunning styles while minimizing damage and maintaining overall hair health.


Mechanism of Dye Penetration


Closed/Open Cuticle
Image source: Adobe Stock
Image source: Adobe Stock


Hair Under Microscope
Image source: Adobe Stock


Healthy & Damaged Hair Types


Hair Porosity
Image source: Adobe Stock
Image source: Adobe Stock

Contact Information
YourRoyalHairness@outlook.com
240-210-0300
© 2025. All rights reserved.
Samantha Reed
Follow me on social media!
Please support me with a simple "like" or "follow" as such an easy action makes a world of difference for me! Also, stay tuned for more amazing photos and videos of satisfied customers. Thank you!
